Overview
Forum
Mango
iMango
Papaya
Multi-image Analysis GUI
Download
User Guide
Troubleshooting
Acknowledgements

Image Browser      Navigation      Window Settings      Toolbar Options      ROI Touch Tools      ROI Edit Menu      Add Menu      Customize Menu      Analysis Menu
Transferring Data      Display Features      Atlases      Settings     

Display Features

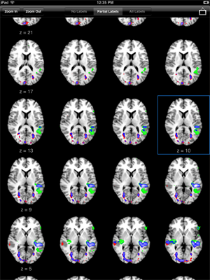
Lightbox
Lightbox Display. Rotate the iPad into portrait orientation to display a lightbox layout of slices. Use one finger to scroll up and down throughout the slices. The current slice is indicated with a highlighted border.

Tap Zoom In/Out to change the number of columns displayed. Select Partial Labels to show labels only in the first column and selected slice. Tap the picture icon to make a screen capture which is saved to the Photos app.

Turn the iPad back into landscape orientation to display the orthogonal viewer.

External Display. An iPad 2 using an HDMI connector will automatically mirror the display. Using an iPad 1 or a VGA adapter will also mirror the display, but at a slower frame rate of 1 fps.

Left-handed Display. Puts the navigation controls on the right side of the viewer and the main slice for ROI editing on the left. See Settings for more information.

Radiological Display. Displays the right side of the image on the left side of the viewer. See Settings for more information.