SN — Talairach Spatial Normalization Plugin
Download this plugin (installation instructions)
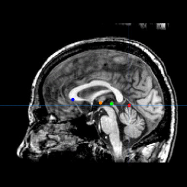
Description: A brain image is aligned to the Talairach standard through a three-step process:
- Mid-sagittal alignment (1) – During the first step, the manual transform editing tool is used to align the brain image mid-sagittal plain with the displayed mid-sagittal markers.
- AC-PC and Origin alignment (2) – During the second step, four anatomical locations are identified -- ventral aspect of the anterior Corpus Callosum (CC), ventral aspect of the Thalamus (TN), Superior Colliculus (SC), and superior aspect of the Cerebellum (CB) -- which are used to align the image to the AC-PC line. Then the origin is identified as the Anterior Commisure.
- Scaling (3) – Finally, in the third step, the overall size of the brain is determined by selecting each side of a bounding box cube. An option is provided to automatically set the bounding box.
At any point during the process, the alignment file can be saved and then later reloaded.
Version History:
1.2.5 (06-05-2015) — Fixed bug in which if multiple viewers are open, transform window may open for other viewer.
1.2.4 (09-08-2014) — Changes to support plugin API updates.
1.2.3 (05-19-2014) — Changes to support plugin API updates.
1.2.2 (03-18-2014) — Minor change to support plugin API updates.
1.2.1 (07-20-2011) — Added support for new plugin format.
1.2 — Added automated-bounding box. Better support for multi-displays. Fixed bug when operating in world coordinate mode.
Screenshots: