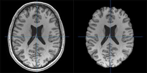
Description: This plugin is based on the FMRIB Software Library program BET (Brain Extraction Tool) and is used to separate brain from non-brain tissue in MRI images. For more information about settings, hover the mouse over an option label to see a helpful tooltip. Further information about settings can be found on the BET webpage.
This plugin supports Intel Mac OS X 10.5, 10.6, and 10.7; Windows XP, Vista, and 7; and Linux.
License: By using this plugin you are accepting and agreeing to the terms of the FMRIB and Mango software licenses. The plugin JAR file contains its source code, including any modifications to the original FMRIB source code.
Mango software is copyrighted by the University of Texas. Mango is available for use, as is, free of charge for educational and scientific, non-commercial purposes. The software and data derived from Mango software may be used only for research and may not be used for clinical purposes. If Mango software or data derived from Mango software is used in scientific publications, we request that the 'Research Imaging Center, UTHSCSA' be cited as a reference. Use or incorporation of this software or data derived from this software in commercial applications or commercial publications requires a written consent from the RIC-UTHSCSA.
RIC-UTHSCSA makes no representations or warranties about the suitability of the software, either express or implied, including but not limited to the implied warranties of merchantability, fitness for a particular purpose, non-infringement, or conformance to a specification or standard. RIC-UTHSCSA shall not be liable for any damages suffered by licensee as a result of using or modifying this software or its derivatives.
FMRIB Software Library, Release 4.0 (c) 2007, The University of Oxford (the "Software")
The Software remains the property of the University of Oxford ("the University").
The Software is distributed "AS IS" under this Licence solely for non-commercial use in the hope that it will be useful, but in order that the University as a charitable foundation protects its assets for the benefit of its educational and research purposes, the University makes clear that no condition is made or to be implied, nor is any warranty given or to be implied, as to the accuracy of the Software, or that it will be suitable for any particular purpose or for use under any specific conditions. Furthermore, the University disclaims all responsibility for the use which is made of the Software. It further disclaims any liability for the outcomes arising from using the Software.
The Licensee agrees to indemnify the University and hold the University harmless from and against any and all claims, damages and liabilities asserted by third parties (including claims for negligence) which arise directly or indirectly from the use of the Software or the sale of any products based on the Software.
No part of the Software may be reproduced, modified, transmitted or transferred in any form or by any means, electronic or mechanical, without the express permission of the University. The permission of the University is not required if the said reproduction, modification, transmission or transference is done without financial return, the conditions of this Licence are imposed upon the receiver of the product, and all original and amended source code is included in any transmitted product. You may be held legally responsible for any copyright infringement that is caused or encouraged by your failure to abide by these terms and conditions.
You are not permitted under this Licence to use this Software commercially. Use for which any financial return is received shall be defined as commercial use, and includes (1) integration of all or part of the source code or the Software into a product for sale or license by or on behalf of Licensee to third parties or (2) use of the Software or any derivative of it for research with the final aim of developing software products for sale or license to a third party or (3) use of the Software or any derivative of it for research with the final aim of developing non-software products for sale or license to a third party, or (4) use of the Software to provide any service to an external organisation for which payment is received. If you are interested in using the Software commercially, please contact Isis Innovation Limited ("Isis"), the technology transfer company of the University, to negotiate a licence. Contact details are: innovation@isis.ox.ac.uk quoting reference DE/1112.
Version History:
1.1 (06-05-2015) — Added script support.
1.0.4 (05-19-2014) — Changes to support plugin API updates.
1.0.3 (03-18-2014) — Minor change to support plugin API updates.
1.0.2 (01-24-2014) — Now triggers Mango to save changes.
1.0.1 (07-20-2011) — Added support for new plugin format.
1.0 (06-14-2011) — Initial release.